Terapie fornite
Lo studio offre una vasta gamma di servizi in tutti i rami dell'odontoiatria: dalla conservativa diretta e indiretta (intarsi e overlay) ed estetica (faccette e sbiancamenti) all'endodonzia, protesi, chirurgia, parodontologia e implantologia. Tratta anche i piccoli pazienti con la pedodonzia e offre servizi di ortodonzia con la tecnica Invisalign, utilizzando mascherine trasparenti progressive. Inoltre, si occupa di casi complessi di usura o erosioni a livello di tutta la bocca.
Conservativa indiretta
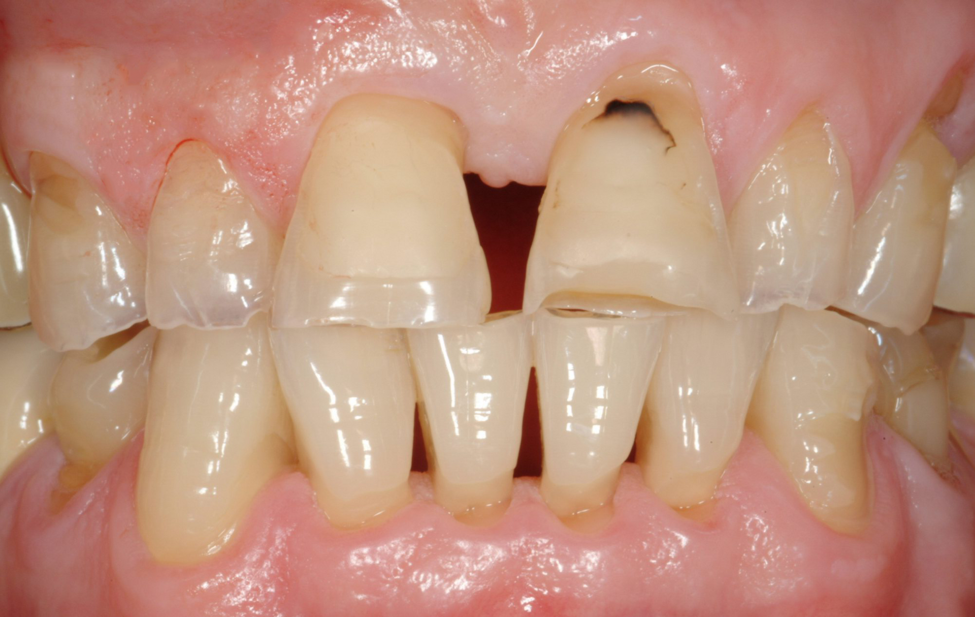
Lo specialista effettua interventi di conservativa indiretta, inclusa la sostituzione delle vecchie amalgame con restauri in composito. Questa tecnica permette di rimuovere le carie e riparare i denti danneggiati, utilizzando materiali estetici e biocompatibili che si integrano perfettamente con il dente naturale.
Faccette in ceramica
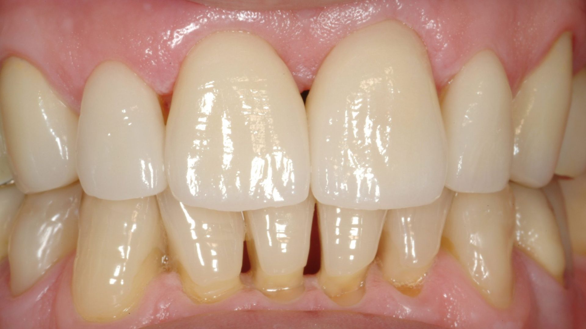
Le faccette in ceramica sono sottili lamine personalizzate che vengono applicate sulla superficie anteriore dei denti per migliorare l'estetica del sorriso. Questi dispositivi sono ideali per correggere imperfezioni come macchie, scheggiature, denti disallineati o spazi eccessivi. Le faccette in ceramica offrono un risultato naturale e duraturo, grazie alla loro resistenza e alla capacità di imitare l'aspetto dei denti naturali. Lo studio garantisce un'applicazione precisa e personalizzata, adattando le faccette alle esigenze estetiche e funzionali di ogni paziente.
Implantologia
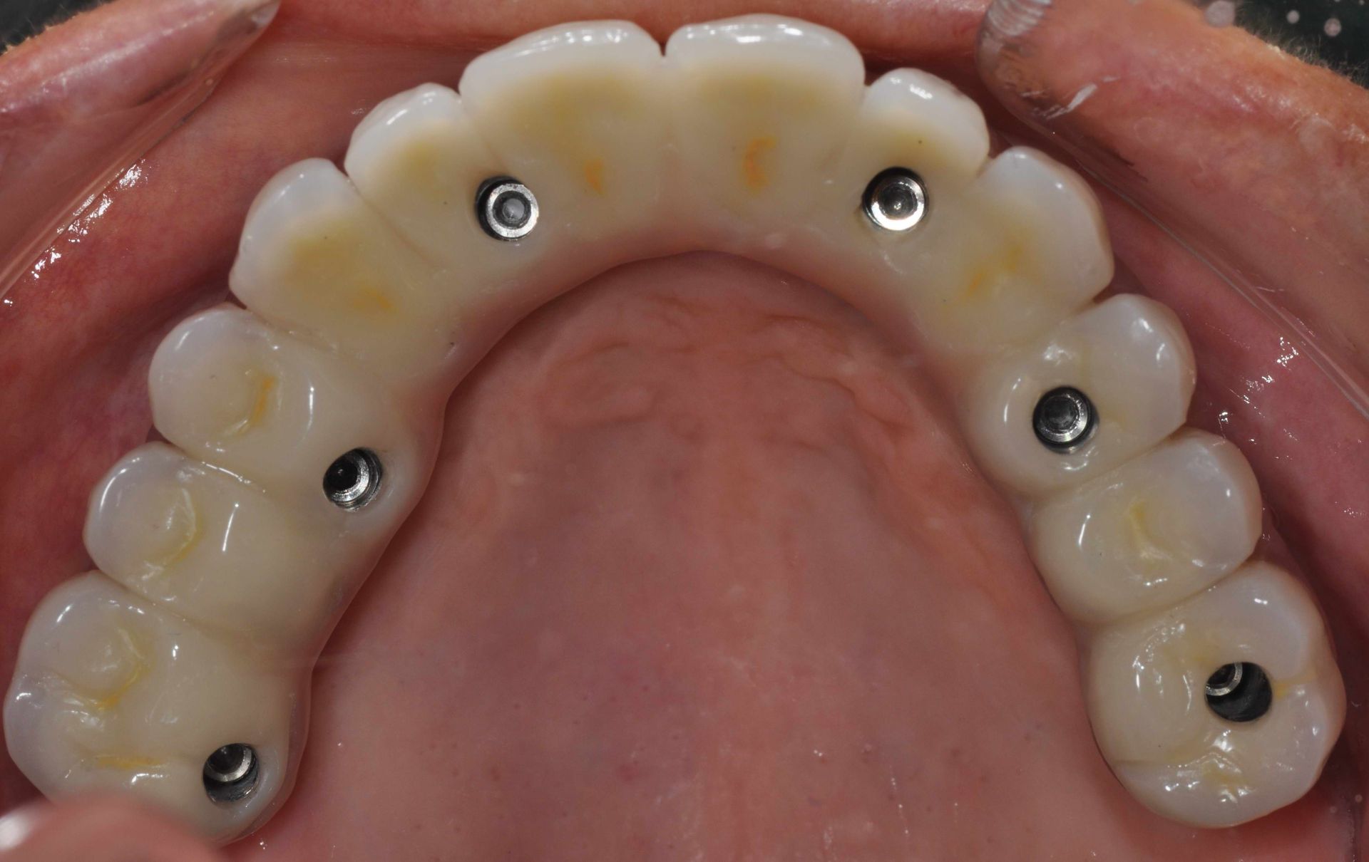
L'implantologia è una branca dell'odontoiatria che si occupa della sostituzione dei denti mancanti attraverso l'inserimento di impianti dentali. Questi impianti, realizzati in titanio biocompatibile, fungono da radici artificiali su cui vengono fissate protesi dentarie come corone, ponti o dentiere. L'implantologia offre una soluzione stabile e duratura per ripristinare la funzionalità masticatoria e l'estetica del sorriso, migliorando significativamente la qualità della vita dei pazienti.





